このページはお住まいの地域ではご覧いただくことはできません。
Overview
![]() | 高機能と高画質を備えたスマートイメージング
DP74は、ユーザーの快適な観察をサポートする機能と2070万画素相当の画像取得機能を兼ね備えた顕微鏡用デジタルカメラです。
|
|---|
フルHDを超える高画質でなめらかなライブ観察を実現230万画素のCMOSセンサーを搭載し、フルHDを超える高画質なライブ画像が得られます。60fpsの高フレームレートで、素早い顕微鏡操作にもライブ像が滑らかに追従するので、カンファレンスなどの使用シーンでも快適で素早い観察が可能です。 | Related Videos |
|---|
| さまざまな染色標本で高色再現性を実現オリンパス独自の「多軸色補正技術」により、HE染色から、パパニコロウ染色のライトグリーン、DAB染色の茶色まで、さまざまな色合いの標本に対応して接眼レンズで観た色と同等の色合いを忠実に再現することが可能となりました。また色モードの切り替え等が不要なため、誰でも簡単に色再現性の良い画像が取得できます。 |
|---|
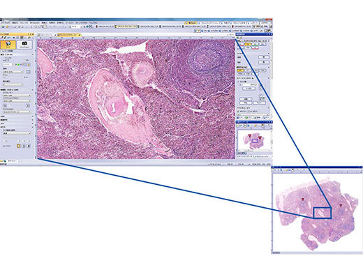
進化した効率性と快適性で、顕微鏡観察をサポート新開発の位置ナビゲーター機能により、電動ステージ顕微鏡でなくても、手動による顕微鏡操作で自動的に広視野マップを作成し、現在の視野位置をマップ上に表示できます。これにより、高倍率観察で見失いがちな「今どこを見ているのか」の把握が容易になります。広視野マップは、高倍率観察画像とセットで保存でき、日々の議論・プレゼンテーション用の資料作成に大変便利です。 ※広視野マップ作成と位置ナビゲーションの精度は、標本によって異なります。 |
|
|---|
![]() ![]() | 見たいところを探しやすい広視野従来のカメラの視野はFN18相当が一般的でした。DP74では、その視野が面積比にして37%UP、より広くワイドになりました(当社従来比)。ワイドスクリーンモニターにもフィットし、観察対象を探しやすくなりました。 また、広視野になるほど画像周辺部の光量が不足しがちですが、対物レンズごとに最適化されたシェーディング補正を行うことで、視野周辺部まで均一な明るさの画像を取得できます。これにより、貼り合わせを行ってもムラの目立たないマクロ画像を作製できます。 |
|---|
顕微鏡専用設計快適な顕微鏡観察をサポートするスマート機能を搭載し、より簡単、素早く、快適なワークフローを実現します。
|
Applied Technologies
低倍観察時にも鮮鋭な画像を取得可能DP74 は、画素サイズ以下の微小距離だけセンサーをシフトさせて撮影を行うことで、低倍観察時にも高解像な2070万画素相当の画像を撮影できます。また、3 板カメラ同様の撮影を実現する3CMOSモードにより、画像のファイルサイズはそのままに、高精細で色再現性の良い画像を取得することもできます。 |
|
|---|
| ノイズの少ない鮮鋭な蛍光画像冷却CMOSにより、冷却CCDと同等以上の感度でノイズの少ない綺麗な蛍光画像を撮影することが可能になりました(当社従来機種比)。 |
|---|
60fpsの高フレームレート高品質なグローバルシャッター搭載CMOSにより、顕微鏡の素早い操作にも、歪みのないスムーズなライブ画像で追従します。 |
![]() |
| 染色に合わせた多軸色補正多軸色補正技術により、サンプルの色に応じて適切に色調整が行われた画像を取得できます。通常のカメラでは、一つの染色に対して色調整を行うと他の染色も影響を受けてずれてしまいますが(図左)、色の大きく異なる染色では色再現が悪くなるため、染色方法に応じて色モードを設定してから撮影するなどの手間がありました。 DP74は、図右のように色を複数の領域に分割し、複数の独立した座標軸を用いて色調整を行います。そのため染色の異なるサンプルを撮影する際も色モードを変更する手間なく、ほぼ全ての染色方法で高い色再現を実現しています。 |
|---|
蛍光観察時に最適な露出時間を自動設定するSFL(Super Fluorescence)機能顕微鏡での蛍光観察に最適化されたSFLモードを搭載。通常のAE(自動露光)では露出オーバーとなってしまう場合でも、SFLモードでは蛍光観察に適した露出時間が自動で設定されるため、綺麗な蛍光画像を素早く撮影できます。 |
|
|---|
Related Videos | 対物レンズ切り替え時の「白とび」回避DP74は、対物レンズの切り替え時の暗転を自動検出することで、従来のカメラで発生していたライブ画像の「白とび」を抑えます。対物レンズ切り替え後すぐにライブ画像が表示されるので、素早く観察を行うことができます。 |
|---|
リニアモードによる定量的イメージング蛍光標本の輝度測定に適したリニアコントラストモードを選択することが可能です。リニアコントラストモードでは、画像の輝度が入射した光の強度に比例するため、輝度を測定し蛍光強度を比較する実験に適しています。 |
コントラスト中程度(デフォルト設定) |
リニアモード |
|---|
| 微弱な蛍光画像でも容易なフォーカシング新開発のマルチフレームを用いたライブノイズ低減技術により、微弱な蛍光でも素早く鮮鋭な蛍光画像を取得することができます。ステージ操作中は高速ライブで素早く操作に追従し、ステージ操作を停止するとそれを自動的に検知して、複数のフレームを用いたノイズ低減処理を行います。ノイズが低減され観察対象がはっきり見えるので、素早く正確なフォーカシングが可能になります。 |
|---|
ご質問や見積もり依頼はこちらから |
Specifications
| センサータイプ |
| |
|---|---|---|
| 最大記録画素数 | 5760 (W) x 3600 (H) pixels | |
| 画素サイズ | 5.86 x 5.86 µm | |
| アナログデジタル変換 | 12 bits | |
| ビニング |
| |
| 露光時間 | 39 μs–60 s | |
| フレームレート | 最大60 fps (1920 × 1200) | |
| 冷却方式 | Peltier cooling | |
| 外部トリガー | ✓ | |
| 出力データI/F | PCIe dedicated controller | |
| 部分読み出し | ✓ | |
| 対応OS | Windows 10 Pro(64bit) | |
| スタンドアローン | - |
弊社より提供する顕微鏡コントローラー(PC)はWindow10のOSライセンスが認証済みとなりますので、Microsoft社のライセンス条項が適用され、当該条項に同意頂くことになります。Microsoft社のライセンス条項はこちらをご参照ください。 |












