Unser Customized Solutions Teams von Evident kann auch mit Ihnen zusammenarbeiten, um Lösungen für spezielle Mikroskopie-Probleme zu entwickeln oder um die Funktionen unserer Standard-Mikroskope zu erweitern. In diesem Beispiel zeigen wir, wie wir die Ausbildung am Mikroskop in abgelegenen Gebieten unterstützen, falls erforderlich, auch mit unkonventionellen Ansätzen.
Schätzungen zufolge gibt es mehr als 240 Millionen Malariafälle weltweit, die zu 627.000 Todesfällen führten (Statistik von 2020). Ungefähr 95 % dieser Todesfälle traten in Afrika auf.1
Um den Schweregrad dieser durch Stechmücken übertragenen Krankheit zu reduzieren und ihre Verbreitung einzudämmen, sollte Malaria so früh wie möglich behandelt werden. In Gebieten, die stark von Malaria betroffen sind, wird empfohlen, die Krankheit innerhalb von 24 Stunden zu behandeln.2 Das Laborpersonal muss ausreichend geschult sein, um die Parasiten, die Malaria verursachen, effizient und genau zu identifizieren und die Proben auszuwerten. Wenn Malaria vermutet, aber nicht richtig erkannt wird, besteht zudem die Gefahr, dass Patienten mit anderen Krankheiten nicht angemessen behandelt werden. Daher ist es für die Bekämpfung von Malaria von entscheidender Bedeutung, dass es in den betroffenen Regionen geschultes Gesundheitspersonal gibt.
Um Malariaparasiten unter dem Mikroskop zu identifizieren, wird der Blutstropfen zunächst angefärbt, meist durch Giemsa-Färbung, wodurch der Malariaparasit deutlicher sichtbar wird. Die gefärbte Blutprobe wird dann auf einen Objektträger gegeben und unter dem Mikroskop auf Malariaparasiten untersucht (Abbildung 1).

Abbildung 1: Trophozoit von Plasmodium vivax, ein Malaria verursachender Parasit.
Um eine schnelle Erkennung zu ermöglichen, befinden sich Gesundheitseinrichtungen, in denen Mikroskope zur Verfügung stehen, möglichst nahe an den Risikogebieten in Subsahara-Afrika. Ebenso wichtig wie gut ausgestattete Einrichtungen ist die Verfügbarkeit von geschulten Mikroskopikern.
Das CX23 Mikroskop für biologische Anwendungen wird häufig für Schulungs- und Ausbildungszwecke eingesetzt (Abbildung 2). Aufgrund seines bedienerfreundlichen, leichten, kompakten und äußerst robusten Designs ist es besonders geeignet für Bildungseinrichtungen in abgelegenen Gebieten. Was die Bildgebungsleistung anbelangt, zeichnet es sich zudem durch modernste optische Komponenten aus.

Abbildung 2: Das CX23 Mikroskop ist für Schulungszwecke besonders gut geeignet, und das ergonomische Design erleichtert die lange Betrachtung von Proben im Labor.
In den meisten Laborschulungseinrichtungen werden die Proben auf dem CX23 Standardmodell mit einer integrierten, netzbetriebenen LED-Beleuchtung beleuchtet. In abgelegenen Gebieten kann es jedoch vorkommen, dass die Stromversorgung unzuverlässig ist. Wenn die Netzstromversorgung während der Schulung am Mikroskop für längere Zeit unterbrochen wird, kann sich die Qualifizierung der Schulungsteilnehmer erheblich in die Länge ziehen.
Das Sales und Customized Solutions Team von Evident EMEA (Europa, Naher Osten und Afrika) entwickelte in Zusammenarbeit mit Ausbildungseinrichtungen im Gesundheitswesen in Afrika eine Lösung, mit der Mikroskopiker das Training auch bei einem längeren Stromausfall oder in Gebieten ohne unmittelbare Netzstromversorgung fortsetzen können.
Dabei handelt es sich um eine portable USB-LED-Lichtquelle (Abbildung 3), die einfach an dem CX23 Mikroskop befestigt werden kann. Es gibt mehrere Befestigungsmöglichkeiten, sodass sich je nach Bedarf entsprechend der gerade durchgeführten Untersuchungen Anpassungen vornehmen lassen.

Abbildung 3: USB-LED-Beleuchtung am CX23 Mikroskop, angeschlossen an eine Solarmodul-Stromquelle.
In Zusammenarbeit mit einem spezialisierten Anbieter für Beleuchtungstechnik stellte das Customized Solutions Team sicher, dass die Lichtquelle mit handelsüblichen USB-Powerbanks bis zu zehn Stunden lang betrieben werden kann. So können Mikroskopiker längere Zeit am Stück geschult werden.
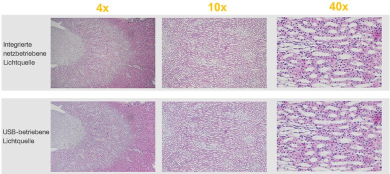
Die akkubetriebene Lichtquelle bietet eine gleichmäßige Ausleuchtung und Farbtemperatur entsprechend der integrierten CX23 LED, um die optische Leistung und somit auch die Diagnosequalität aufrechtzuerhalten. Dies ist in Abbildung 4 in einem Bildvergleich zu sehen.

Abbildung 4: Die mit dem CX23 Mikroskop aufgenommenen Bilder weisen sowohl mit der integrierten LED-Beleuchtung als auch mit der speziell entwickelten portablen USB-Lichtquelle die gleiche Bildqualität bei verschiedenen Vergrößerungen auf.
Unter normalen Bedingungen hat die Lichtquelle eine Lebensdauer von bis zu acht Jahren. Die ergonomische Helligkeitsregelung ermöglicht zudem eine problemlose Optimierung der Lichtintensität.
Ein Mitarbeiter von Wirsam Scientific erklärte einem Evident Vertriebspartner in Südafrika nachdem er die Lichtquelle getestet hatte: „In unserer Region erleben wir derzeit zyklische Lastabwürfe und viele unvorhersehbare Stromausfälle. Wir haben die akkubetriebene LED-Lichtquelle mit einem CX23 Mikroskop in zwei Konfigurationen verwendet: am Mikroskopsockel befestigt und integriert im Kondensor. Wir stellten
fest, dass die Lichtintensität mehr als ausreichend war.

Abbildung 5: Solarmodul-Konfiguration von Wirsam Scientific zur Stromversorgung des USB-Beleuchtungssystems.
Wir hatten das System über 8 Stunden ununterbrochen im Einsatz und die Lichtintensität blieb konstant. Wir verwendeten die LED-Lichtquelle sogar direkt mit einem Solarmodul und das hat wirklich gut funktioniert (Abbildung 5). Wenn man auf einem Kontinent mit viel Sonnenlicht lebt, ist dies eine effiziente und kostengünstige Option. In abgelegenen Gebieten Afrikas, in denen es gar keinen Strom oder keine zuverlässige Stromversorgung gibt, kann das Solarmodul einige dieser Probleme beheben.”
Ungeachtet der scheinbaren Einfachheit dieser leistungsfähigen und individuell maßgeschneiderten Lösung demonstriert sie das Engagement von Evident, Lösungen für die Biowissenschaften und Industrie zu entwickeln, die dazu beitragen, die Welt sicherer und gesünder zu machen.
Erfahren Sie mehr darüber, wie unser Customized Solutions Team zusammen mit Ihnen Lösungen entwickeln kann, die genau auf Ihre Prüfanforderungen zugeschnitten sind.
Nicht in allen Regionen verfügbar. Kontaktieren Sie Ihren zuständigen Vertriebsmitarbeiter/-partner für weitere Informationen.
1https://www.who.int/teams/global-malaria-programme/reports/world-malaria-report-2021
2https://www.cdc.gov/malaria/malaria_worldwide/reduction/dx_tx.html
Please adjust your selection to be no more than 5 items to compare at once
Not Available in Your Country
Sorry, this page is not
available in your country.
You are being redirected to our local site.