
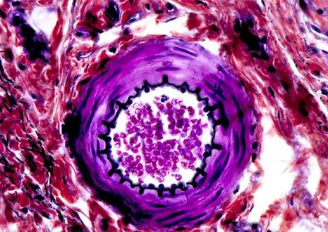
The vascular system is one of the first developments in an embryo because transporting fluids is a fundamental need of growing life forms. As components of the vascular system, arterioles are small tubes that branch from arteries and are important in the conveyance of blood.
Sorry, this page is not
available in your country.