Evident LogoOlympus Logo

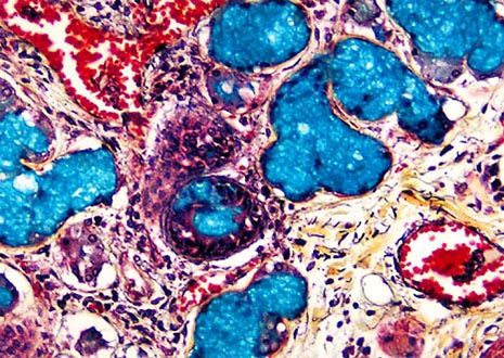
Lung Tissue

Lung Tissue

Human lungs are light, soft and elastic when healthy and always contain some air in living individuals. Asymmetrical, the left lung is slightly smaller than the right due to the location of the heart.

Sorry, this page is not
available in your country.

Sorry, this page is not available in your country