Evident LogoOlympus Logo

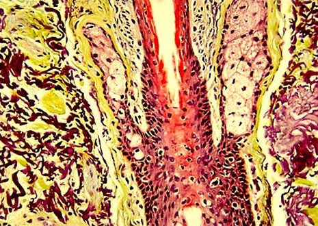
Skin Hair Shaft with Sebaceous Glands

Skin Hair Shaft with Sebaceous Glands

Hair does not exist and grow alone, but is part of the pilosebaceous system, which also includes follicles, papillae, and sebaceous glands. A typical human has approximately 100,000 hairs on his or her scalp and loses about 50 to 100 strands a day.

Sorry, this page is not
available in your country.

Sorry, this page is not available in your country