Evident LogoOlympus Logo

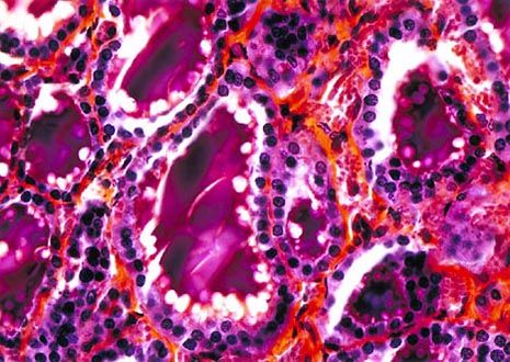
Thyroid Gland

Thyroid Gland

Located in the throat just below the Adam’s apple is the small, lobed gland known as the thyroid. The hormones secreted by the thyroid are active in a variety of bodily functions, but are most important to metabolism regulation.

Sorry, this page is not
available in your country.

Sorry, this page is not available in your country