Evident LogoOlympus Logo

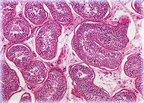
Immature Testes

Immature Testes

The testes are a pair of male reproductive glands that are sometimes also referred to as the testicles. After human adolescence, the glands are responsible for producing sperm, the male reproductive cells, but before that time remain in an immature state.

Sorry, this page is not
available in your country.

Sorry, this page is not available in your country