
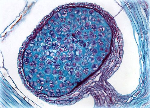
Approximately 200 different species of primitive vascular plants commonly referred to as clubmosses are classified in the genus Lycopodium. The pollen produced by the plants is flammable and was formerly utilized as a flash powder for early cameras and as a common component of fireworks.
Sorry, this page is not
available in your country.