Evident LogoOlympus Logo

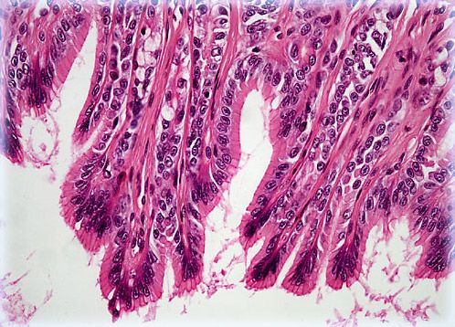
Simple Columnar Epithelium

Simple Columnar Epithelium

The epithelium is a tissue composed of numerous epithelial cells packed tightly together. These cells, which often come into contact with substances foreign to the body, may vary greatly in shape and function.

Sorry, this page is not
available in your country.

Sorry, this page is not available in your country