
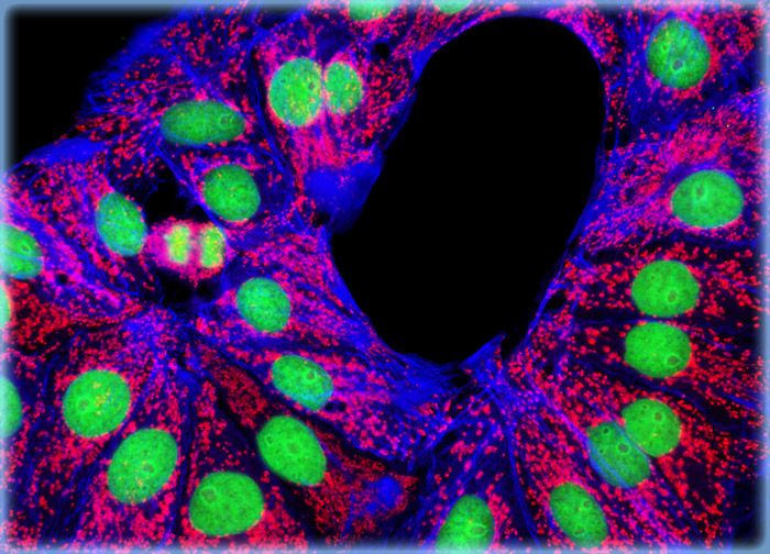
The culture of pig kidney epithelial cells featured in this section was immunofluorescently labeled with anti-cytokeratin (pan) mouse monoclonal primary antibodies followed by goat anti-mouse Fab fragments conjugated to Pacific Blue. The specimen was subsequently stained with MitoTracker Red CMXRos and SYTOX Green to label the mitochondrial network and nuclear DNA, respectively.
Sorry, this page is not
available in your country.