Evident LogoOlympus Logo

Phase Contrast Microscopy Digital Image Gallery

The Olympus Microscopy Resource Center gallery of phase contrast photomicrography contains a large collection of images taken under a wide variety of conditions using specimens ranging from fossilized dinosaur bones to soft tissues from human and plant pathology. Use the links below to navigate to the individual entries in this colorful gallery.

  • TitleAgatized Bone
  • TitleAllosaurus
  • TitleAmphibian Blood Cells
  • TitleAmphioxus
  • TitleApple Scab
  • TitleBird Skin
  • TitleBlack Grape Rot
  • TitleBlack Knot
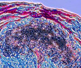
  • TitleBlack Lung Disease
  • TitleBronchial Pneumonia
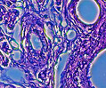
  • TitleCarcinoma
  • TitleButterfly Wing Scales
  • TitleCabbage Club Root
  • TitleCamarasaurus
  • TitleCedar Apple Rust
  • TitleHamster Ovary Cells
  • TitleAtherosclerosis
  • TitleCooked Meat
  • TitleDesmids
  • TitleDiabetes Mellitus
  • TitleDown Feathers
  • TitleMildew of Grape
  • TitleEarthworm Clitellum
  • TitleWorm Testes/Ovaries
  • TitleErgot
  • TitleFish Cycloid Scale
  • TitleFish Gills
  • TitleFish Skin
  • TitleFrog Skin
  • TitleHadrosaurus
  • TitleHouse Fly Eye
  • TitleHouse Fly Mouthparts
  • TitleHouse Fly Wings
  • TitleHuman Bone Sarcoma
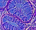
  • TitleAdenocarcinoma
  • TitleHuman Scar Tissue
  • TitleHuman Tattoos
  • TitleHuman Tongue
  • TitleHydatid Disease
  • TitleHydra Nematocysts
  • TitleKeloid Scars
  • TitleLiver Cirrhosis
  • TitleLymph Carcinoma
  • TitleMammalian Cartilage
  • TitleMetridium
  • TitleMosasaurus Vertebrae
  • TitleMultipolar Neurons
  • TitleObelia Hydroid
  • TitleObelia Medusa
  • TitleParamecium
  • TitlePeach Brown Rot
  • TitlePleurodira
  • TitlePollen
  • TitlePotato Blight
  • TitleEmphysema
  • TitleRadiolarians
  • TitleRaw Meat
  • TitleRotifers
  • TitleSebaceous Cysts
  • TitleSnake Skin
  • TitleSponge Skeleton
  • TitleSquamous Papilloma
  • TitleStarfish Arms
  • TitleStarfish Testes
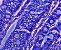
  • TitleStomach Cancer
  • TitleTapeworm
  • TitleTilia
  • TitleTobacco Blue Mold
  • TitleTobacco Mosaic Virus
  • TitleTracheid Cells
  • TitleUterine Adenomyosis
  • TitleWheat Rust Pustules
  • TitleSpermogonia
  • TitlePine Blister Rust
  • TitleRust of Crucifers

Sorry, this page is not
available in your country.

Sorry, this page is not available in your country