Evident’s TruSight SR algorithm is a novel super-resolution technology evolved from Olympus Super Resolution (OSR)1 and integrated into the IXplore™ IX85 SpinSR confocal spinning disk super-resolution microscope. This technology enhances confocal microscopy by optimizing the pinholes and employing an optical theory-based processing engine to achieve super-resolution imaging.
TruSight SR addresses OSR's limitations in low signal-to-noise ratio (SNR) images by incorporating adaptive filter strength and three-dimensional (3D) processing capabilities. This advancement supports the enhancement of image quality in low SNR conditions, such as live-cell imaging with dim fluorescence signals. By restoring natural super-resolution images and preserving brightness values, TruSight SR enables consistent image data that support quantitative analysis across diverse applications.
Through a detailed explanation of this super-resolution algorithm and its applications, this white paper demonstrates how Evident's TruSight SR contributes to the improvement of microscope image quality.
Key topics covered include:
The TruSight SR algorithm is an evolution of Evident’s proprietary OSR technology for super-resolution imaging. OSR combines computational processing techniques to maximize the performance of confocal microscopes and achieve super resolution. Compared to traditional Wiener deconvolution, OSR provides reliable results and generates natural super-resolution images that match the cutoff frequency of confocal microscopes.
However, conventional OSR had a drawback when applied to images with low SNR. In these images, it could emphasize noise components and degrade resolution. To address this, we have evolved OSR into TruSight SR while enhancing its noise resistance. This advancement enables the acquisition of super-resolution images with high SNR even with dim fluorescence intensity during live fluorescence imaging. At the same time, it maintains the fast and reliable spatial resolution of 120 nm provided by the original OSR. TruSight SR also includes 3D processing capabilities, enabling high-resolution imaging of thick samples. This update supports high-quality image restoration in a range of applications.
TruSight SR is now integrated into the IXplore IX85 SpinSR spinning disk confocal super-resolution microscope (Figure 1).

Figure 1: Microtubules of PtK2 cells.
Left: Spinning disk confocal image (digitally enlarged 2.8X) acquired using the IXplore IX85 Spin (50 µm disk).
Right: Super-resolution image acquired using the IXplore IX85 SpinSR (SoRa disk, projection lens: 2.8X).
Objective: UPLXAPO100XO (NA 1.45). Scale bar: 5 µm.
Various types of computational processing have been devised for microscope images. Evident originally developed a super-resolution microscope system by combining spinning disk confocal microscopy with OSR computational processing. OSR technology maximizes the performance of confocal microscopes to achieve super resolution. It has been known that the cutoff frequency of confocal microscopes is twice that of conventional widefield fluorescence microscopes. However, due to the low proportion of high-frequency components, the spatial resolution of confocal microscopes was not significantly different from that of widefield fluorescence microscopes. OSR improves the signal acquisition efficiency near the cutoff frequency optimizing pinhole settings. It also adds linear filtering computational processing to generate the final super-resolution image.2
One of the features of OSR processing is the high reliability of the results. This is explained by comparing it with other common processing methods such as Wiener deconvolution. The observed image of a microscope can be represented by the convolution of the object distribution and the point spread function (PSF). In the frequency domain, this corresponds to the attenuation of the frequency characteristics of the object structure by the Fourier transform of the PSF (optical transfer function, or OTF). Wiener deconvolution solves the convolution by multiplying the inverse of the OTF with the frequency characteristics of the observed image, restoring the original object distribution.
In practice, simple inverse filtering can be unstable in the high-frequency region, so filter strength is limited to return the signal components as close to the original object signal as possible. In contrast, the goal of OSR processing is to create a natural observed image aligned with the cutoff frequency. Figure 2 shows the difference in frequency characteristics after processing with Wiener deconvolution and OSR processing. Wiener deconvolution aims for a flat response characteristic; however, due to the cutoff frequency of the microscope's optical system, it cannot achieve a completely flat response and shows a steep attenuation near the cutoff frequency. Such a step-like response characteristic can cause strong ringing in the restored image, leading to artifacts.
In contrast, OSR processing restores the image to achieve a natural microscope image by targeting a resolution equivalent to twice the cutoff frequency of a confocal microscope (which is twice that of widefield fluorescence microscopes).2 By setting a response characteristic that gradually attenuates towards the cutoff frequency, OSR suppresses artifacts caused by ringing while maximizing the signal within the cutoff frequency. The result is super resolution with twice the resolution.

Figure 2. Comparison of Wiener deconvolution and OSR processing.
a) and d) show frequency characteristics after processing. In Wiener deconvolution, signal restoration aims for a flat response characteristic within the cutoff frequency. In contrast, OSR processing aims for a characteristic that gradually attenuates toward the cutoff frequency. While the shape of the response characteristic is similar to that of a conventional microscope, it has twice the bandwidth.
b) and e) show the point spread function (PSF) corresponding to the restored response characteristics. When the response characteristic shows a steep attenuation like in Wiener deconvolution, the restored PSF exhibits strong ringing (positive and negative oscillations). In contrast, OSR processing suppresses ringing.
c) and f) are simulated images after processing. g) is ground truth of the object distribution. Wiener deconvolution shows artifacts and false resolution due to strong ringing effects, whereas OSR processing restores a natural microscope image.
To obtain high-quality results through computational processing, it is important to use accurate PSF information. In addition to using accurate PSF calculation algorithms (e.g., those compatible with high NA objective lenses), precise input of various device parameters is also necessary. Parameters such as objective NA, excitation wavelength, fluorescence wavelength, pinhole diameter, and pixel size are important but insufficient. Detailed information about the device, such as projection magnification, beam diameter, and polarization state, is also required. General deconvolution software may find it difficult to cover these fine differences. OSR can perform PSF calculations with accurate parameter settings, contributing to its high reliability.
OSR, which achieves super resolution by extracting the high-frequency performance of confocal microscopes, had a drawback in noise sensitivity addressed by the evolved TruSight SR algorithm.
Figure 3 shows a microscope simulation image. In images with low SNR, high-frequency components may contain a significant amount of noise. Strong restoration processing in this state can emphasize fine noise components in the image, resulting in lower image quality than the original raw image. Since this noise component is originally included in the image, it is difficult to avoid it by simply using accurate PSF information or optimizing ringing suppression.
TruSight SR addresses this issue by considering the noise components in the image. It expands the range of filter strength adjustments and performs ringing correction based on the microscope's frequency characteristics, similar to OSR processing. Figure 4 shows the filter strength and its effect. By implementing a function to finely adjust the filter strength, it is possible to suppress the extreme emphasis effect of frequency components that cause noise in the image while improving the resolution compared to conventional confocal microscopy.

Figure 4. Example of adjusting filter strength according to the SNR of the image. When the original raw image has a low SNR, using a weaker filter strength can suppress noise while enhancing the perceived resolution. Conversely, when the original raw image has a high SNR, using a stronger filter strength can maximize the resolution improvement effect.
Further, TruSight SR includes an algorithm that determines the SNR from the image and optimizes the filter strength. Microscopes are used for a wide variety of applications, so it is impossible to determine the SNR based solely on the simple statistical values (e.g., variance or brightness difference) of the image. The reason is that it is difficult to distinguish whether the brightness variation in the image is due to noise or sample structure. TruSight SR develops a technology that stably selects the optimal filter strength under any imaging conditions. It does so by estimating signals dependent on the sample shape and signals dependent on noise randomly generated by the area sensor from the acquired image.
Figure 5 shows the effect of the filter strength optimization algorithm. By automatically setting the optimal filter according to the input image, it is possible to improve image quality while suppressing noise generation. Particularly when the SNR of the original raw image is insufficient, better results can be obtained compared to conventional OSR processing.

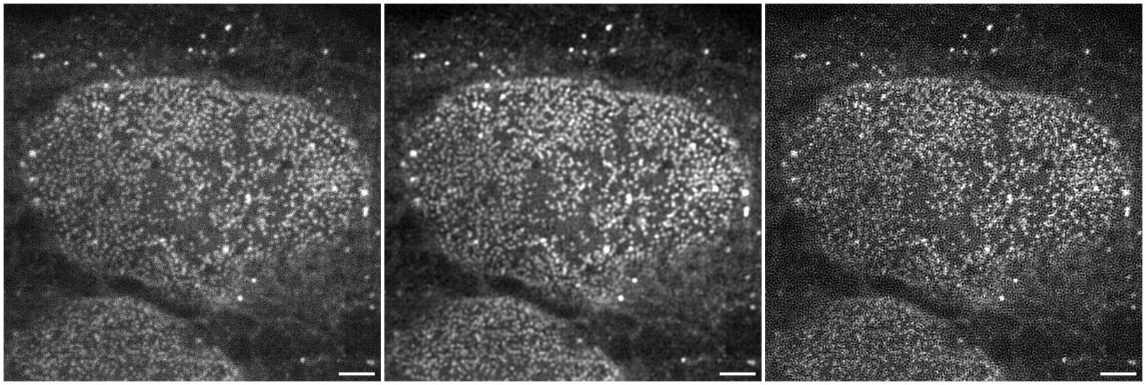
Figure 5. Differences in processing of nuclear pore fluorescence images with low SNR.
Left: Original raw image. Middle: Automatic processing by TruSight SR. Right: OSR processing. When the SNR of the original image is low, conventional OSR processing amplifies noise and degrades the perceived resolution. In contrast, TruSight SR achieves good resolution.
Images acquired using the IXplore IX85 SpinSR (SoRa disk, projection lens: 2.8X) with the UPLXAPO100XO (NA 1.45) objective. Scale bar: 2. µm.
Another advantage of the TruSight SR algorithm is the preservation of the original raw image’s intensity levels, enabling the analysis and comparison of brightness values in super-resolution images.
TruSight SR calculates the PSF spread through the optical system based on hardware information and performs image recovery. At the same time, it preserves the brightness values spread with a certain probability density. Figure 6 shows the histograms of the original raw image and the TruSight SR image.

Figure 6. Comparison of brightness before and after TruSight SR processing.
a) Maximum intensity projection (MIP) display of original raw Z-stack images of PtK2 cell microtubules captured using the IXplore IX85 SpinSR (SoRa disk, projection lens: 2.8X) using the UPLXAPO100X (NA 1.45) objective.
b) MIP display of images of a) processed by TruSight SR 2D processing. The scale bar is 5 µm. Both (a) and (b) are displayed with fixed LUT max and min values. The intensity of these images is almost the same.
c) Histogram of the intensity of all pixels in the Z-stack images. More than 97% of the total sum of brightness values × number of pixels was preserved. The remaining 3% mainly consists of noise components, which vary slightly depending on the image’s SNR.
As shown, the brightness information of the original raw image is maintained even after filter processing, allowing the processed image to be used for quantitative analysis.
TruSight SR also includes processing functions for 3D data in addition to conventional two-dimensional (2D) processing. Figure 7 shows an example of observing fluorescent beads. While resolution improvement in 2D processing is limited to the XY plane, 3D processing also improves the Z-direction.

Figure 7. Examples of 2D and 3D processing of TruSight SR. Using fluorescent beads with a diameter of 100 nm to measure the full width at half maximum (FWHM) of the PSF. A fluorescent beads image was captured using the IXplore IX85 SpinSR (SoRa disk, projection lens: 2.8X) with the UPLXAPO100XS (NA 1.35) objective at the sampling pitch: XY pitch: 46.4 nm, Z-pitch: 50 nm.
a) XY image of the original raw image.
b) XY image after TruSight SR 2D processing.
c) XY image after TruSight SR 3D processing.
d) X-profile of images (a) to (c).
e) XZ image of the original raw image.
f) XZ image after TruSight SR 2D processing.
g) XZ image after TruSight SR 3D processing.
h) Z-profile of images (e) to (g). In 3D processing, resolution improvement effects were obtained in the XY plane and in the Z-direction.
The high reliability of OSR technology continues when expanding processing to three dimensions. By setting a natural observed image as the goal after processing in the Z-direction (rather than restoring the object distribution), ringing is suppressed in all XYZ directions.
To help ensure the reproducibility of processing results, it is also necessary to consider changes in sampling pitch. The sampling pitch in the XY plane of the image is mainly determined by magnification and camera pixel size. However, the sampling pitch in the Z-direction is arbitrarily set by the user and is not constant. Conventional OSR processing only supports 2D processing and is limited to specific combinations of cameras and zoom systems. TruSight SR supports 3D processing and enables the use of various cameras and zoom systems. Therefore, even if the sampling pitch of the processed image varies under different conditions, it is designed to always achieve the same degree of image recovery with the same filter strength. Figure 8 shows an example of a PSF calculated under certain conditions.

Figure 8. Comparison of the effect of sampling pitch on processing results.
a) and b) are PSFs where the total intensity value is normalized considering the 3D intensity value distribution. Even though the Z-intervals during imaging are significantly different, with a) 0.2 µm and b) 0.02 µm, the XY profiles at the peak intensity cross-section are consistent in graph (e).
c) and d) are PSFs where the total luminance value is normalized considering only the XY focus cross-section. With this calculation method, changing the imaging conditions of the Z-interval results in a different XY full width at half maximum (FWHM), as shown in graph (f).
In Figure 8f, the full width at half maximum (FWHM) in the XZ cross-section changes with the Z-sampling pitch even with the same filter strength. In contrast, the graph (e) in Figure 8 shows adjustment processing considering the intensity distribution within the XYZ data. As a result, stable FWHM can be obtained regardless of the Z-sampling pitch. This demonstrates that TruSight SR supports reproducible results suitable for quantitative analysis.
In live-cell imaging, it is necessary to minimize the impact on live cells by using the weakest possible light excitation. Therefore, it is difficult to obtain high SNR fluorescence images. TruSight SR provides super-resolution images with improved SNR in live images by performing reliable linear deconvolution-based processing at appropriate filter strengths for images obtained with dim fluorescence signals.
Related Videos | Related Videos |
Figure 9. Live super-resolution imaging of LC3-EGFP expressing U2OS cells . A high-quality super-resolution image can be obtained by TruSight SR processing even if the SNR of the original raw image is low. Left: Original raw image with a low SNR captured using the IXplore IX85 SpinSR (SoRa disk, projection lens: 2.8X) with a UPLXAPO100XO (NA 1.45) objective. Right: Left image processed by TruSight SR 2D processing (filter strength 1.5). Scale bar: 5 µm.
In live-cell imaging with weak excitation light, strong sharpening processing can make specific signals called honeycomb noise noticeable. TruSight SR includes processing that addresses such low SNR, enabling appropriate processing for live-cell imaging.
The LUPLAPO25XS objective lens (NA 0.85, WD 2 mm) is the first in the world to incorporate a silicone gel pad with a refractive index that matches that of living cells and tissues, making it ideal for deep imaging. Silicone gel does not evaporate like water or flow away like silicone oil, providing stable long-term time-lapse observation. TruSight SR enables live imaging with super-resolution by combining the wide field of view of the 25X objective lens with a magnification relay lens. It is possible to identify target cells in a wide field of view and capture fine structures within cells at a resolution equivalent to that of confocal imaging with a 60X, 100X (NA 1.4), or higher objective lens without switching the objective.
Related Videos | Related Videos | Related Videos |
Figure 10. Live super-resolution imaging of LC3-EGFP expressing U2OS cells. Left: confocal imaging using the IXplore IX85 SpinSR (50 µm disk, projection lens: 1X). Middle: Super-resolution image using IXplore IX85 SpinSR (SoRa disk, projection lens: 4X) processed by TruSight SR 2D processing (filter strength 1.0). Right: Digitally enlarged middle image processed by TruSight SR 3D processing (filter strength: 2.0). Confocal image for a wide field of view and super-resolution image of autophagosomes can be seamlessly acquired without switching objective lenses.
TruSight SR extends the deconvolution processing functionality—originally implemented in 2D imaging based on microscope frequency characteristics and accurate point spread function (PSF) information—to 3D applications. This enables enhanced resolution along the Z-axis, even in thick samples, while maintaining quantitative accuracy through 3D processing based on optical system data.

Figure 11. 3D imaging of nucleopores of HeLa* cells. Left: XY and XZ cross section of the original raw image captured by the IXplore IX85 SpinSR (SoRa disk, projection lens: 2.8X) using the UPLXAPO100XO (NA 1.45) objective. Middle: Left image was processed by TruSight SR 2D processing (filter strength 2.5). Right: Left image was processed by TruSight SR 3D processing (filter strength 2.5). Scale bar: 2 µm
*HeLa cells are one of the most important and well known cell strains for medical research and scientific development. They have contributed to major discoveries in immunology, infectious diseases, and cancer research, and have raised serious questions about ethics in the medical field. Visit henriettalacksfoundation.org for more information on the life of Henrietta Lacks and her contributions to modern medicine.
Evident offers both TruSight SR super-resolution technology, which is based on linear OSR processing, and TruSight deconvolution processing technology, which uses a constrained iterative algorithm.3
While the constrained iterative algorithm's deconvolution has a significant sharpening effect, the processing speed and image quality are dramatically affected by the algorithm's implementation method. For example, point-like objects are easy to estimate with high accuracy, but dense structures are difficult to estimate correctly. By performing appropriate processing (such as PSF setting, algorithm selection, and parameter selection), it is possible to improve the accuracy of the estimated image. However, the relationship between the frequency characteristics before and after processing is not uniform. As a result, caution is needed in the final restored object prediction.4
To obtain more accurate, detailed, and artifact-free images, it is necessary to skillfully combine these two methods. For example, Figure 12d shows the result of deconvolution processing with unoptimized parameters. Although a sharper image than the original raw image is obtained, part of the star chart plane is distorted. TruSight SR suppresses artifacts while emphasizing high-frequency components well. When parameters are optimized, the TruSight deconvolution can achieve even higher resolution without causing extreme artifacts (Figure 13).

Figure 12. Simulation images of a star chart.

Figure 13. Cultured NIH 3T3 cells. Left: Original image. Middle: TruSight SR 3D processing (filter strength: 3.0). Right: TruSight deconvolution. Green: tubulin, Gray: HSP60, Magenta: fibrillarin. Sample provided by EnCor Biotechnology Inc. Captured using the IXplore IX85 SpinSR (SoRa disk, projection lens: 4X) with the UPLXAPO40XO (NA 1.4) objective. Scale bar: 2 µm.
By using the highly accurate TruSight SR technology, which is based on accurate PSF and hardware information, and the high-resolution estimated image processing of TruSight deconvolution with optimized parameters, IXplore IX85 SpinSR users can reproducibly extract the necessary information contained in the images.
The TruSight SR algorithm is an image processing technology evolved from OSR. Unlike conventional deconvolution, it does not restore object distribution. Instead, TruSight SR restores natural super-resolution microscope images in accordance with the cutoff frequency of a confocal microscope.
By incorporating 3D processing and enabling flexible selection of filter intensity according to the image's SNR, it is possible to obtain high-quality images with minimal artifacts in virtually any observation scenario. This helps ensure appropriate processing for applications where the reliability of the image after restoration is crucial.
Shintaro Fujii, Micro Imaging Solutions R&D, Advanced Optics, Evident
Masahito Dohi, Micro Imaging Solutions R&D, Advanced Optics, Evident
Please adjust your selection to be no more than 5 items to compare at once
Not Available in Your Country
Sorry, this page is not
available in your country.
You are being redirected to our local site.