L’équipe des solutions sur mesure d’Evident peut collaborer avec vous pour mettre au point des solutions permettant de résoudre des problèmes de microscopie particuliers ou d’améliorer les fonctions de nos microscopes standard. Nous illustrons dans cette note d’application comment nous apportons des capacités qui vont au-delà des capacités conventionnelles en soutenant la formation en microscopie dans les régions reculées.
On estime qu’il y a eu plus de 240 millions de cas de paludisme dans le monde, ayant causé 627 000 décès (statistiques de 2020). Environ 95 % de ces décès sont survenus en Afrique.1
Pour réduire la gravité du paludisme chez les patients et prévenir la propagation de cette maladie transmise par les moustiques, il est nécessaire de traiter celle-ci dès que possible. Dans les zones fortement touchées par le paludisme, il est recommandé de traiter la maladie dans un délai de 24 heures.2 Pour identifier efficacement et avec précision les parasites qui causent le paludisme, le personnel de laboratoire évaluant les échantillons doit avoir une formation suffisante. De plus, si le paludisme est suspecté mais pas correctement évalué, il est possible que les patients atteints d’autres maladies ne soient pas traités de manière appropriée. Par conséquent, il est vital dans la lutte contre le paludisme qu’il y ait, dans les régions touchées, des travailleurs de la santé dûment formés.
Pour identifier les parasites du paludisme à l’aide d’un microscope, le microscopiste colore d’abord la goutte de sang, le plus souvent avec la coloration de Giemsa, pour rendre le parasite du paludisme plus apparent. Ensuite, il étale l’échantillon de sang coloré sur une lame et l’examine au microscope pour détecter la présence du parasite du paludisme, tel qu’on le voit sur la figure 1.

Figure 1 – Trophozoïte dePlasmodium vivax, un parasite sanguin responsable du paludisme
Pour que les évaluations soient faites rapidement, des établissements de santé équipés de microscopes ont été construits aussi près que possible des communautés à risque en Afrique subsaharienne. Et ce qui est tout aussi important que la proximité de ces établissements, c’est la disponibilité de microscopistes formés pour exploiter pleinement l’équipement.
Le microscope biologique CX23 est largement utilisé pour l’enseignement et les travaux pratiques (figure 2). Facile d’utilisation, léger, compact et très solide, il constitue un choix pratique pour les établissements d’enseignement dans les régions reculées. De plus, ses composants optiques de pointe lui permettent de se distinguer quant aux performances d’imagerie.

Figure 2 – Le microscope CX23 est particulièrement bien adapté pour les formations pratiques,
et son excellente ergonomie facilite les longues périodes d’observation d’échantillons en laboratoire.
Dans la plupart des environnements de formation en laboratoire, les échantillons sont éclairés sur un microscope CX23 standard à l’aide d’une lampe à DEL intégrée alimentée par le secteur. Toutefois, la disponibilité et la fiabilité du réseau électrique dans certaines régions reculées peuvent s’avérer très variables. Si l’alimentation secteur est interrompue pendant de longues
périodes au cours de la formation en microscopie, la qualification des microscopistes peut être considérablement retardée.
L’équipe des ventes et des solutions sur mesure d’Evident pour l’Europe, le Moyen-Orient et l’Afrique (EMEA) a collaboré avec des centres de formation en soins de santé d’Afrique pour mettre au point une solution qui permettrait aux microscopistes de poursuivre leur formation même pendant de longues coupures de courant ou dans des régions sans accès facile à une alimentation secteur.
La solution, illustrée à la figure 3, est une source de lumière à DEL USB portable qui s’installe facilement sur les microscopes CX23. Il existe plusieurs options d’installation pour donner aux microscopistes la flexibilité de créer la configuration qu’ils souhaitent.

Figure 3 – Image de la source de lumière à DEL USB installée sur le microscope CX23 et branchée sur une source d’alimentation à panneau solaire
En collaboration avec un fournisseur spécialisé dans les technologies d’éclairage, l’équipe des solutions sur mesure s’est assurée que la source de lumière pourrait fonctionner pendant 10 heures à l’aide de chargeurs USB nomades largement disponibles. Les microscopistes peuvent ainsi continuer leur formation pendant de longues périodes.
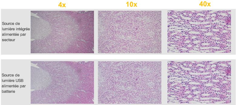
La source de lumière alimentée par batterie produit un éclairage uniforme et une température de couleur équivalente à celle de la source de lumière à DEL intégrée au CX23, ce qui permet le maintien des performances optiques du microscope et, au bout du compte, de la qualité du diagnostic. Vous pouvez constater cette équivalence dans la comparaison côte à côte de la figure 4.

Figure 4 – Images prises au microscope à divers grossissements présentant la même qualité d’image avec la source de lumière USB portable créée sur mesure pour le CX23 qu’avec la source de lumière à DEL intégrée au CX23
Dans des conditions normales d’utilisation, la source de lumière a une durée de vie allant jusqu’à 8 ans. Et la commande ergonomique pour régler la luminosité permet à l’opérateur d’optimiser facilement l’intensité lumineuse.
Un collaborateur de Wirsam Scientific, distributeur d’Evident en Afrique du Sud, a testé la source de lumière et nous a fait part de son avis positif : « Dans notre région, nous connaissons actuellement des délestages cycliques et de nombreuses coupures de courant imprévues. Nous avons utilisé la source de lumière à DEL alimentée par batterie sur un microscope CX23 dans deux
configurations, soit montée sur la base du microscope, soit insérée dans le condenseur. Nous avons constaté que l’intensité lumineuse était plus que suffisante. »

Figure 5 : Configuration de Wirsam Scientific, qui utilise un panneau solaire pour alimenter le système d’éclairage USB
« Nous avons utilisé le système sans interruption pendant plus de 8 heures, et l’intensité lumineuse est restée constante. Nous avons même utilisé la source de lumière à DEL directement avec un panneau solaire, et cela a très bien fonctionné (figure 5). Lorsqu’on vit sur un continent très ensoleillé, il s’agit d’une option efficace et peu coûteuse. Dans certaines régions reculées d’Afrique où le réseau d’électricité est absent ou peu fiable, le panneau solaire viendra pallier certains de ces problèmes. »
Cette solution sur mesure de haute qualité, bien qu’apparemment simple, témoigne de l’engagement d’Evident à créer des solutions dans les domaines industriel et des sciences de la vie qui contribuent à rendre le monde plus sûr et plus sain.
Découvrez quelques-unes des façons dont notre équipe des solutions sur mesure peut collaborer avec vous afin de mettre au point des solutions qui répondront à vos besoins en matière d’inspection.
Découvrez quelques-unes des façons dont notre équipe des solutions sur mesure peut collaborer avec vous afin de mettre au point des solutions qui répondront à vos besoins en matière d’inspection.
* Non disponible dans certaines régions. Contactez le représentant commercial de votre région pour obtenir de plus amples renseignements.
1https://www.who.int/teams/global-malaria-programme/reports/world-malaria-report-2021
2https://www.cdc.gov/malaria/malaria_worldwide/reduction/dx_tx.html
Please adjust your selection to be no more than 5 items to compare at once
Not Available in Your Country
Sorry, this page is not
available in your country.
You are being redirected to our local site.