A equipe de soluções personalizadas da Evident pode cocriar soluções com você para resolver problemas específicos de microscopia ou aprimorar as funções dos nossos microscópios básicos. Aqui, demonstramos como fornecemos capacidade além do convencional, oferecendo suporte ao treinamento em microscopia em locais remotos.
Estima-se que houve mais de 240 milhões de casos de malária em todo o mundo, causando 627.000 mortes (estatísticas de 2020). Aproximadamente 95% dessas mortes ocorreram na África.1
Para reduzir a gravidade da doença nos pacientes e prevenir a propagação da doença transmitida por mosquitos, a malária deve ser tratada o mais rapidamente possível. Em áreas muito afetadas pela malária, recomenda-se que a doença seja tratada em 24 horas.2 Para identificar com eficiência e precisão os parasitas que causam a malária, a equipe do laboratório que avalia as amostras precisa ter treinamento suficiente. Além disso, se houver suspeita de malária, mas não for avaliada corretamente, os pacientes com outras doenças podem não ser tratados adequadamente. Portanto, ter profissionais de saúde treinados nos locais certos é vital no combate contra a malária.
Para identificar os parasitas da malária usando um microscópio, primeiro o microscopista tinge a gota de sangue, mais comumente com a coloração de Giemsa, tornando o parasita da malária mais aparente. A amostra de sangue tingida é então espalhada em uma lâmina de microscópio e examinada em um microscópio quanto a presença do parasita da malária, conforme mostrado na Figura 1.

Figura 1. Plasmodium vivax trofozoíto, um parasita causador de malária.
Para dar suporte a uma avaliação rápida, as unidades de saúde com microscópios estão localizadas o mais próximo possível das comunidades em risco na África Subsaariana. Tão importante quanto as unidades de saúde locais bem equipadas é a disponibilidade de microscopistas treinados para usar o equipamento e forma completa.
O microscópio biológico CX23 é amplamente usado para finalidades educacionais e de treinamento (Figura 2). O design fácil de usar, leve, compacto e altamente durável do microscópio CX23 o torna uma escolha prática para instalações educacionais em locais remotos. E a óptica de ponta o diferencia para desempenho de formação de imagem.

Figura 2. O microscópio CX23 é adequado para treinamentos e seu design ergonômico facilita longos períodos de observação de amostras no laboratório.
Na maioria dos ambientes de treinamento de laboratório, as amostras de teste são iluminadas no modelo CX23 básico usando uma lâmpada de LED integrada alimentada pela rede elétrica pública. No entanto, a disponibilidade e a confiabilidade do fornecimento de energia elétrica da rede pública em alguns locais remotos podem ser variáveis. Se a energia elétrica pública for interrompida por longos períodos durante o treinamento em
microscopia, a qualificação dos microscopistas pode ser significativamente atrasada.
A Equipe de Vendas e Soluções Personalizadas da Evident para a Europa, Oriente Médio e África (EMEA) colaborou com instalações de treinamento em saúde na África para desenvolver uma solução que permitisse aos microscopistas continuar o treinamento mesmo durante longos cortes de energia ou em regiões sem rede elétrica pública prontamente disponível.
A solução, mostrada na Figura 3, é uma fonte de luz de LED USB portátil que pode ser facilmente conectada a microscópios CX23. Existem várias opções de acoplamento para dar aos microscopistas a flexibilidade de configurar seus exames do jeito que quiserem.

Figura 3. Imagem da luz de LED USB instalada no microscópio CX23 e conectada a uma fonte de energia de painel solar.
Trabalhando com um fornecedor especializado em tecnologia de iluminação, a Equipe de Soluções Personalizadas garantiu que a fonte de luz operaria por até dez horas usando carregadores portáteis USB amplamente disponíveis. Isso permite que o microscopista continue o treinamento por períodos prolongados.
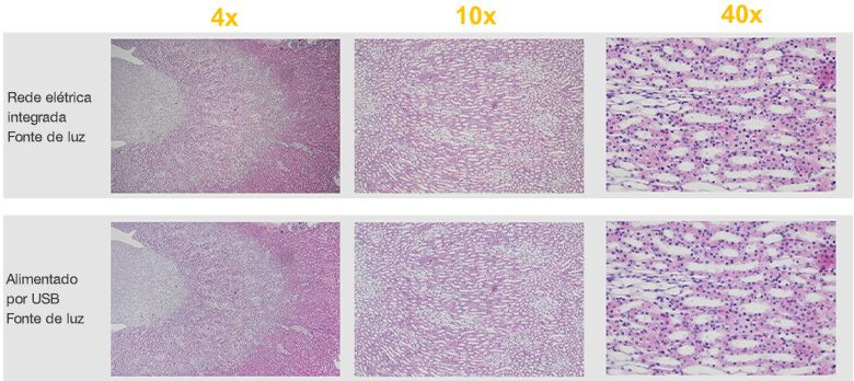
A fonte de luz alimentada por bateria tem uma iluminação uniforme e temperatura de cores equivalente ao LED do CX23 integrado para manter o desempenho óptico e, por fim, a qualidade do diagnóstico. Isso pode ser visto na comparação lado a lado na Figura 4.

Figura 4. Imagens de microscópio mostrando a mesma qualidade de imagem em uma variedade de aumentos diferentes para o LED integrado do CX23 e a fonte de luz USB portátil personalizada.
Ao operar em condições típicas, a fonte de luz tem uma vida útil de até oito anos. E o controle de brilho ergonômico permite que o operador otimize facilmente a intensidade da luz.
Após testar a fonte de luz, um colaborador da Wirsam Scientific, uma distribuidora da Evident na África do Sul, deu o seguinte aval: "Na nossa região, atualmente estamos enfrentando redução de carga rotacional e muitas quedas de energia não planejadas. Usamos a fonte de luz de LED alimentada por bateria em um microscópio CX23, em ambas as configurações, acoplada à base do microscópio e
inserida no condensador. Descobrimos que a intensidade da luz era mais do que suficiente.

Figura 5. Configuração da Wirsam Scientific usando um painel solar para alimentar o sistema de iluminação USB.
Usamos o sistema ininterrupto por mais de 8 horas e a intensidade da luz permaneceu constante. Até usamos a fonte de luz de LED diretamente com um painel solar e ela funcionou muito bem (Figura 5). Por morar em um continente com muito sol, essa é uma opção eficiente e econômica. Em algumas áreas remotas da África, onde não há eletricidade ou fornecimento de eletricidade não confiável, o painel solar resolverá alguns desses desafios".
Esta solução personalizada de alta qualidade, embora aparentemente simples, mostra o compromisso da Evident em criar soluções industriais e de ciências da vida que ajudem a tornar o mundo mais seguro e saudável.
Explore algumas das maneiras pelas quais nossa Equipe de Soluções Personalizadas pode cocriar soluções para seus requisitos de inspeção.
Explore algumas das maneiras pelas quais nossa Equipe de Soluções Personalizadas pode cocriar soluções para seus requisitos de inspeção.
Não disponível em todas as regiões. Entre em contato com seu representante de vendas local para obter mais detalhes.
1https://www.who.int/teams/global-malaria-programme/reports/world-malaria-report-2021
2https://www.cdc.gov/malaria/malaria_worldwide/reduction/dx_tx.html
Please adjust your selection to be no more than 5 items to compare at once
Not Available in Your Country
Sorry, this page is not
available in your country.
You are being redirected to our local site.