
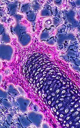
Cartilage is a dense network of collagen fibers, embedded in a firm but plastic-like gelatinous substance, covered by a membrane called the perichondrium. The beautiful image presented above is a phase contrast photomicrograph of a thin section of cartilage that has been stained with eosin and hematoxylin.
Sorry, this page is not
available in your country.