
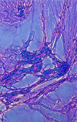
A cytological smear of human multipolar neurons stained with a mixture of eosin and hematoxylin is illustrated in the photomicrograph presented above. As evidenced by the micrograph, combining phase contrast microscopy with classical histological staining techniques in pathological research often yields enhancement of cellular features.
Sorry, this page is not
available in your country.