Evident LogoOlympus Logo

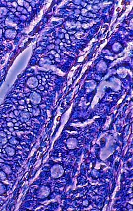
Stomach Cancer

Stomach Cancer

A stained thin section of human stomach reveals damage caused by carcinoma. As evidenced by this micrograph, combining phase contrast microscopy with classical histological staining techniques often yields enhancement of cellular features.

Sorry, this page is not
available in your country.

Sorry, this page is not available in your country