Evident LogoOlympus Logo

Bacteria, Yeast, and Blood

Bacteria, Yeast, and Blood

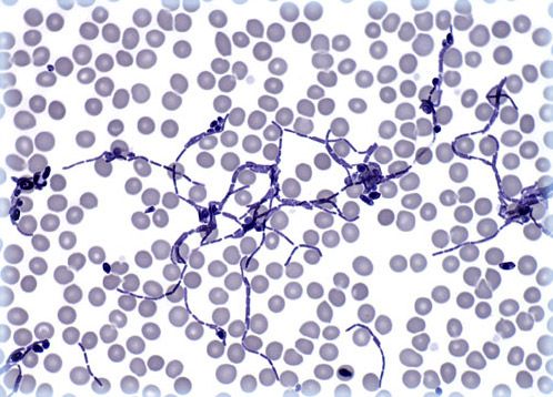
Bacteria are microscopic organisms that do not possess membrane-bound nuclei or organelles. First studied by Antonie van Leeuwenhoek in the 1600s, the classification of bacteria has been a controversial matter for many years.

对不起,此内容在您的国家不适用。

Sorry, this page is not available in your country