Evident LogoOlympus Logo

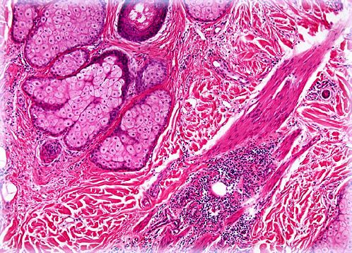
Bald Scalp

Bald Scalp

The scalp is the specialized patch of skin on the human head that is typically covered profusely in hair, containing as many as 150,000 follicles at any given time. However, genetic disposition as well as a wide array of illnesses and disorders may cause hair loss, also known as alopecia.

对不起,此内容在您的国家不适用。

Sorry, this page is not available in your country