
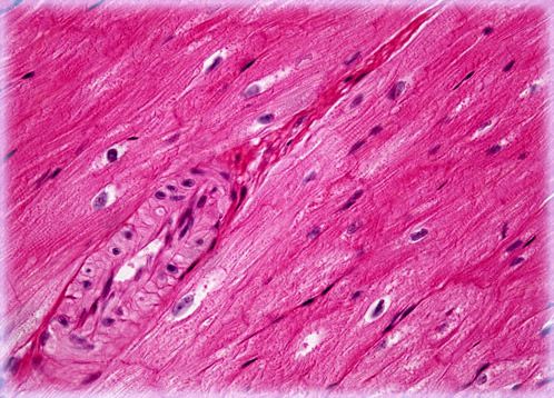
The muscle tissue in mammals and other higher animals is usually described as either striated, cardiac, or smooth depending on its function and appearance. The most studied of these types of tissue is striated muscle, but a significant body of information has been compiled on smooth and cardiac muscles as well.
对不起,此内容在您的国家不适用。