
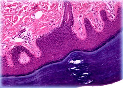
Plantar skin is the integument that covers the soles of the feet of humans and other primates. Similar to the skin found along the palms, plantar skin is relatively thick, greatly keratinized, hairless, and filled with a dense collection of sweat glands, which is the reason why the feet and hands are often the first parts of the body to get sweaty when someone is nervous or anxious.
对不起,此内容在您的国家不适用。