
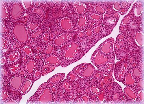
The thyroid is an endocrine gland situated in the throat that produces hormones that are involved in various functions within the body. Comprised of two oblong lobes linked by a narrow piece of tissue called the isthmus, the thyroid contains millions of small sac-like follicles that store the important substances.
对不起,此内容在您的国家不适用。